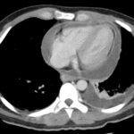
Pericarditis
This 33 male patient gave a history of recent travel 3 months of fevers, shoulder tip pain,...
Radiological Sign: Chilaiditi Sign
Radiological Sign: Chilaiditi Sign: "Chilaiditi syndrome" is essentially the anterior interposition of the large bowel relative to...
Traumatic Lens Dislocation
This patient had blunt trauma to the eye. His ocular ultrasound shows echogenic vitreous due to haemorrhage...
Calcified Portal Vein Thrombosis
Not only CT but plain film also may show calcified thrombus in portal vein and its tributaries.
MR Lipohemarthrosis
Sag T2 MR of the knee shows a fat fluid level in the suprapatellar region and associated...
Preseptal Cellulitis (CT of the Face, Axial)
Axial contrast-enhanced CT image of the orbit shows soft tissue thickening of the right preseptal region (between...
Pneumopericardium
Air appears around heart but does not extend above great vessels
Air in the...
Pseudopolyps Ulcerative Colitis
Diffuse mucosal abnormality with prominent patchy filling defects along smooth colonic luminal surface consistent with ulcerative colitis...
Terry Thomas Sign
An AP wrist plain film, a space is seen between the Scaphoid and the lunate , where...














