Lumbar Compression Fracture (X-Ray)
Diagnosis: Compression fracture of the fourth lumbar vertebra post falling from a height.
A...
Lipohemarthrosis – Cross-table lateral radiograph
Lipohemarthrosis* Mixture of blood and fat in a joint cavity following trauma* Fat from the marrow space...
CMV Pneumonia on CXR
Case courtesy of our radiology website partner, RiT.Axial CT image of the same patient confirmed a nodule...
Hangman’s Fracture (X-ray)
Image courtesy of our radiology website partner, RiT.Lateral view of a cervical spine...
Right femur fracture with significant angulation
Diagnosis: Right femoral fracture with significant angulation
Modality: X-Ray
Credit: Case...
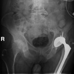
Hardware Complication – Dislocated left hip replacement hardware
Diagnosis: Dislocated left hip - hardware complication
Credit: Case submitted by Dr. Mary Johnson (MSK Rad, Private Practice)...
Hardware Complication with Left Hip Dislocation
Diagnosis: Dislocated left hip due to hardware complication
Credit: Case submitted by Dr. Mary...
Duodenal Hematoma
Diagnosis: Duodenal Hematoma
Credit: Case submitted by Dr. Saeed Rad MD to radRounds Radiology...
Bilateral Avascular Necrosis (AVN) of the Femoral Heads
Diagnosis: Bilateral femoral head AVN (avascular necrosis)
Modality: X-Ray
Findings: Left worse than right ill-defined...
Madelung Deformity
Diagnosis: Madelung Deformity
Modality: X-Ray
Findings:...













