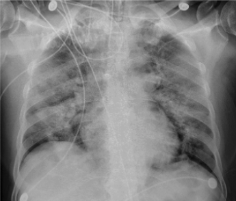
(RSNA) Case example of diffuse non-specific airspace opacities in both lungs in an intubated patient with confirmed COVID diagnosis on day 6 post admission. Key pertinent negative findings include the following: No pleural effusions; No lymphadenopathy; No cardiomegaly; No interstitial opacities to suggest pulmonary edema. (Ref: Song, et al, Radiology 2020)









