
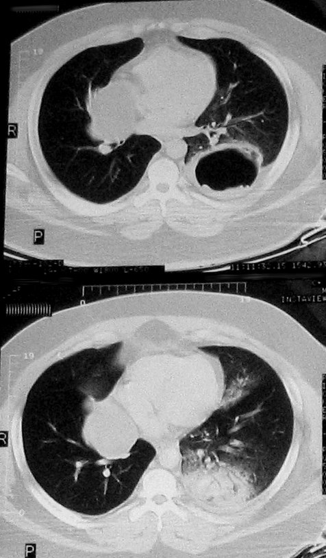
This 32 year-old female patient presented with a cough. Selected CT images show a cystic lung lesion with a moderate thickness wall, and a dependant wavy contour (the water-lily sign). A more caudad slice shows left lower lobe consolidation. The appearance is consistent with ruptured hydatid cyst. The water-lily sign represents dependant membranes within the cyst.
Consolidation is due to a vigorous inflammatory response to endobronchial spread of cyst contents.
hinococcus granulosus. In Australia the definitive host is usually the dog, the intermediate host the sheep (the pastoral form of hydatid disease). Humans are an accidental intermediate. Pulmonary hydatid cysts are typically located in the lower lobes, and may attain large size (up to 15cm). Multiple lesions may be present. Calcification is not a feature of pulmonary hydatid cyst. Uncommonly cysts may extend to the pleural surface or invade the chest wall. Hydatid pulmonary disease may rarely arise from direct extension from the liver.
Reference: Webb WR, Higgins CB. Thoracic Imaging: Pulmonary and Cardiovascular Radiology. Lippincott, Williams & Wilkins 2005
Credit: Dr Laughlin Dawes
https://www.radpod.org









