Bilothorax
This is a case from NEJM as featured by their case challenge. Shown here is a bilothorax.
Mercury Poisoning
An interesting and remarkable set of imaging findings in the setting of Mercury poisoning. See this post by Dr. Keith Siau...
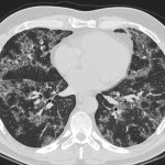
Pulmonary Fibrosis from Sarcoidosis (CT)
Diagnosis:
Pericardial Effusion
Description of above image:
Lateral chest radiograph shows small bilateral pleural effusions....
Chronic PE – Chronic Pulmonary Embolism
Case submitted/via our partner RiT.Axial CT image shows a partial thrombus (stars) in the main and proximal...
CMV Pneumonia on CXR
Case courtesy of our radiology website partner, RiT.Axial CT image of the same patient confirmed a nodule...
Candida Esophagitis
Case courtesy of our radiology website partner, RiT.Double contrast barium esophagography shows innumerable pseudomembranes and plaques (arrows)...
Crazy Paving on Chest CT
Crazy Paving is a appearance that is basically a linear network or reticular pattern in the crazy-paving...
Cardiac MRI Nonimpaction
Noncompaction - Four-chamber - DE-MRI reveals hypertrabeculated noncompacted myocardium in the apex and distal portions of the...
Cardiac MRI – Arrhythmogenic Right Ventricular Dysplasia (ARVD)
ARVD. Right-ventricular horizontal long-axis DE-MRI demonstrates diffuse, subendocardial enhancement of thinned RV wall, consistent with fibrous replacement...











