
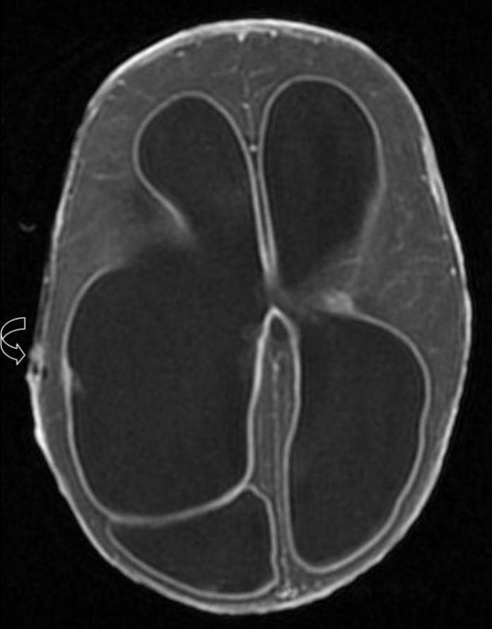
Ventriculitis or ependymitis is defined as ventricular ependyma infection related to meningitis, cerebral abscess rupture into ventricular system or neurosurgical procedures; most commonly ventricular catheter.
MR Findings:
-Ventriculomegaly,
-Dependant debris (high T1 and low T2 signal),
-Marked ependymal enhancement,
-Internal septa and loculations (in chronic cases),
-May have choroid plexitis with enlarged edematous choroid.
-Underlying etiology: e.g. meningitis, abscess or shunt tube.
The above case shows enlarged ventricles with diffuse smooth ependymal enhancement and internal septum. Arrow denotes previous shunt tube.
Reference: Osborn et al. Diagnostic Imaging: Brain. Amirsys 2004.
Credit: Dr Ahmed Haroun










