
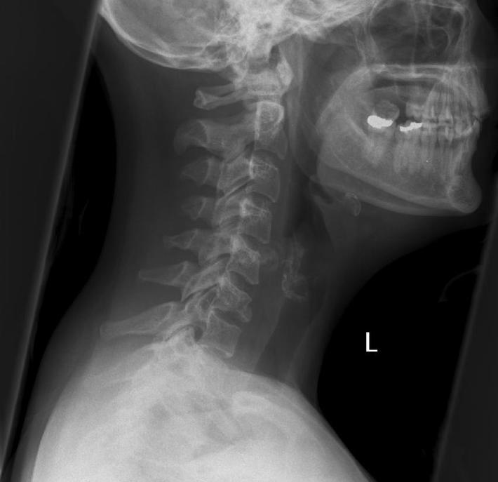
This lateral c-spine fracture shows a compression fracture of C6 with an anterior-inferior vertebral body fragment. There is widening of the interspinous distance (seen well on the AP view, click image to see). Note loss of vertebral body height on both AP and lateral views.
Also known as flexion/extension fracture, the findings are: compression fracture of a (usually lower) cervical vertebra, with anterior-inferior corner separation (the “teardrop”); widening of the interspinous distance at the same level or the level above; and widening or mild rotatory subluxation of facet joints. There may be slight associated listhesis. CT scan is indicated for further assessment of these fractures, as there are often other fractures not seen on plain film. Teardrop fractures are universally unstable, with disruption of anterior, middle and posterior columns. There is a high incidence of associated cord injury, which is best assessed with MRI, including a gradient-echo sequence for cord haematoma.
Reference: Brant-Zawadzki M, et al. Spine: Top 100 Diagnoses Amirsys 2002
Credit: Dr Laughlin Dawes
http://www.radpod.org










