
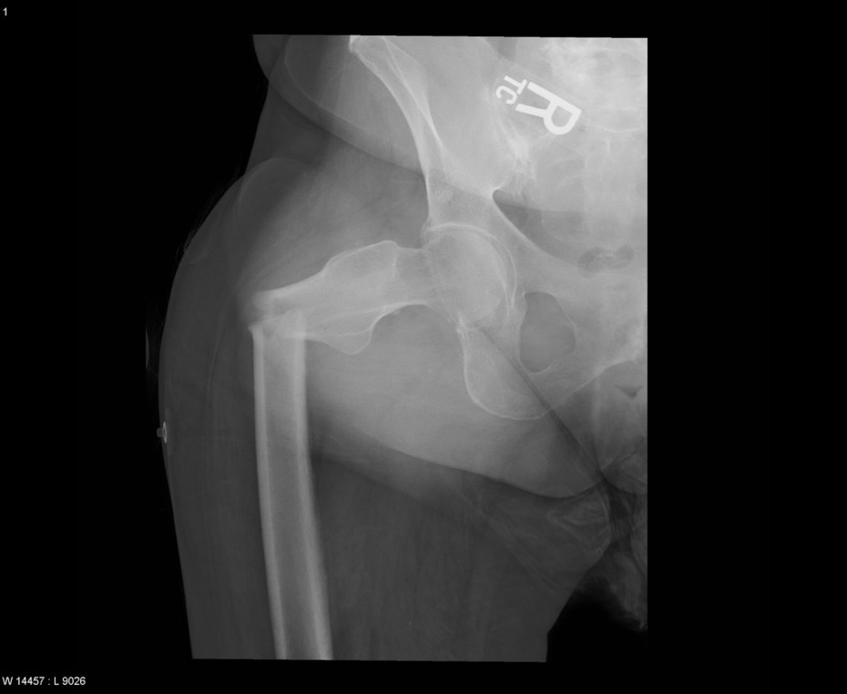
Diagnosis: Right femoral fracture with significant angulation
Modality: X-Ray
Credit: Case submitted by Dr. Ronald Smith (Radiologist) to radRounds Radiology Network


Diagnosis: Right femoral fracture with significant angulation
Modality: X-Ray
Credit: Case submitted by Dr. Ronald Smith (Radiologist) to radRounds Radiology Network