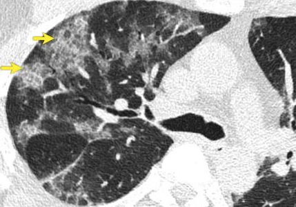
On cross sectional CT imaging of the lung, sometimes, you might see what is known as thickened interlobular and intralobular lines (opacities) in combination with a ground glass pattern. This CT finding is called crazy paving.

On cross sectional CT imaging of the lung, sometimes, you might see what is known as thickened interlobular and intralobular lines (opacities) in combination with a ground glass pattern. This CT finding is called crazy paving.

