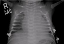
Chest radiography of a 2-month-old baby shows multiple bilateral rib fractures of different ages. Left-sided rib fractures (arrowheads) appear to have callus formation, while the right sided fractures (arrows) do not. Note right pleural effusion/thickening laterally.

Facts:
– Fractures in Non-Accidental Injury
Second most common findings of child abuse after dermatologic findings (bruises, contusions, burns)
– Can be found throughout the whole skeleton
– Likely multiple and in diverse stages of healing
– Long bone fractures are the most common, with some oblique or spiral components (due to torsion force)
– Classic metaphyseal lesions and location of fractures (ie, posterior rib fractures) are more suspicious than others
– Rib Fractures in NAI
– Highly predictive of child abuse in the absence of accidental trauma or certain skeletal diseases (e.g., osteogenesis imperfecta), particularly in children less than 3 years old
– In children with rib fractures, the likelihood of NAI decreases with increasing age
– Multiple rib fractures are more likely to be seen in NAI compared to single fractures
– NAI is more likely in the presence of posterior rib fracture
Our case: non-accidental injury with multiple rib fractures in various stages of healing
SOURCE: RiT (radRounds Partner)








