
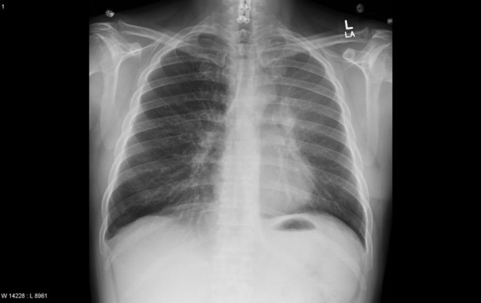
Diagnosis: Luftsichel sign – Luftsichel sign – Left upper lobe collapse
Modality: Frontal Chest X-ray
Credit: Case submitted by Dr. Ellie Goulding M.D. to radRounds Radiology Network


Diagnosis: Luftsichel sign – Luftsichel sign – Left upper lobe collapse
Modality: Frontal Chest X-ray
Credit: Case submitted by Dr. Ellie Goulding M.D. to radRounds Radiology Network