
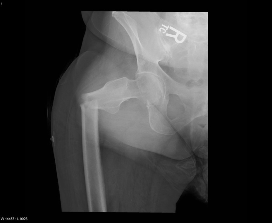
Diagnosis: Fracture of right femur with significant angulation
Modality: X-Ray
Credit: Case submitted by Dr. Landy Cohen to radRounds Radiology Network


Diagnosis: Fracture of right femur with significant angulation
Modality: X-Ray
Credit: Case submitted by Dr. Landy Cohen to radRounds Radiology Network

