Retrosternal Goiter
This 74 year-old female presented with mild dyspnea. The chest x-ray above shows a superior mediastinal mass...
Azygous Vein
This young patient was involved in a trauma. A supine thoracic spine film demonstrates a rounded opacity...
Cystic Lung Disease
This 41 year-old male has respiratory failure and is awaiting a lung transplant. He presented with an...
Cervical Rib X-Ray
Diagnosis: Cervical Ribs
Findings on Imaging (Radiograph):
X-ray of...
Hangman’s Fracture
A hangman’s fracture is a fracture which involves both pars interarticularis of C2, and is as a...
Fracture of the Tibia
Diagnosis: Fracture of the Tibia
Key points: In this...
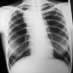
Hodgkin’s Disease
This 19 year-old female patient presented with general malaise. A chest x-ray demonstrates lobulated mediastinal widening, most...
Metastatic Breast Carcinoma
This 51 year-old female patient presented with bone pain and dyspnoea. The PA chest xray above shows...
Chondrocalcinosis – CPPD as seen on Knee X-Ray
Modality: X-Ray
Diagnosis: CPPD
Key Points: Calcium pyrophosphate dihydrate disease (CPPD)...
Double Wall Sign
One of the valuable signs in diagnosis of the pneumoperitoneum in supine film of the abdomen.













